وطن-في بعض الأحيان لا ننتبه للعادات السيئة التي نقوم بها بشكل يومي؛ حتى نرى عواقب ممارستها المستمرة.
وهكذا الحال مع استهلاك المشروبات الضارة واستخدام غير المناسب وغير المسؤول لأسناننا، للقيام ببعض الأشياء مثل فتح الزجاجات؛ وهي كلها عادات تضر بصحة الفم على المدى القصير والبعيد.
فيما يلي استعرضت مجلة “فيدا سانا” الإسبانية، بعض العادات السيئة التي يمكن أن تلحق الضرر بأسنانك:
قضم أظافرك أو أشياء أخرى
بالإضافة إلى كونها عادة غير صحية، فإنها غالبًا ما تسبب إصابات في الأصابع وتضر بصحة فمك. فيمكن أن تسبب البكتيريا الموجودة على أظافرك التهابًا في الجهاز الهضمي وتكسر أسنانك.
أشياء لا يضعها أطباء الأسنان في أفواههم أبدًا .. تعرّفوا عليها
كما يمكن للأشياء الأخرى مثل أقلام الرصاص وعيدان تناول الطعام والأقلام أو أي شيء أن تسبب تلفًا خطيرًا للأسنان وتزيد من حساسيتها.

شرب المشروبات الغازية
تسبب هذه الأنواع من المشروبات العديد من المشاكل بسبب سوء استهلاكها، من بينها تآكل مينا الأسنان، ما يجعل الأسنان أكثر هشاشة وعرضة للتسوس، وفق ما ترجمته “وطن“.
هل تضر الكوكا كولا بالأسنان؟ .. اكتشف كيف تؤثر عليها
يوصى بغسل أسنانك جيدًا بعد تناول هذا النوع من المشروبات السكرية.
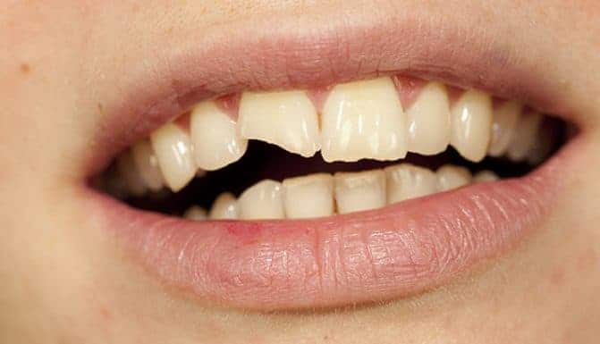
استخدم الأسنان لفتح الأشياء
في كثير من الأحيان؛ نضطر إلى استخدام أسناننا لفتح الزجاجات أو الحاويات الكرتونية أو الأكياس أو الورق، لا سيما عندما لا نجد مقص في متناول اليد أو بعض الأدوات اللازمة للقيام بهذه المهمة السهلة.
استخدام الأسنان بهذه الطريقة يؤدي إلى تآكل الأسنان، ناهيك أنه يؤدي إلى كسرها في مرحلة ما.
مضغ الثلج
يحب الكثير من الناس، عادة مضغ مكعبات الثلج التي يضعونها عادة في مشروباتهم الغازية أو ربما القهوة الصباحية، لكن هذه ممارسة لا يوصي بها أطباء الأسنان.
هذه العادة يمكن أن تكسر أسنانك أو تسبب تشققات، ولا ينصح بها خاصة للأشخاص الذين لديهم حشوات في أسنانهم أو التيجان.

تنظيف الأسنان بالفرشاة مباشرة بعد الأكل
منذ الصغر، تعلمنا أنه يجب علينا تنظيف أسناننا بعد الوجبات، ولكن هذا قد يكون ضارًا في بعض الحالات.
ما يحدث هو أن مستوى الحموضة يزداد مباشرة بعد الأكل أو الشرب، وعندما نقوم بعملية التنظيف نفرك الحمض على الأسنان. لذلك نوصى بالانتظار لمدة 30 دقيقة لتنظيف أسنانك بالفرشاة بعد الوجبات.
شرب الكثير من القهوة والشاي
يتم استهلاك هذه المشروبات بكميات كبيرة بشكل يومي، ولكن استهلاكها المفرط إلى جانب سوء تنظيف الأسنان، قد يؤدي إلى ظهور بقع على الأسنان.

