وطن – على مر السنين، شهدت غرف الطوارئ في جميع أنحاء العالم جميع أنواع المرضى الذين يدخلونها بعد قيامهم بأفعال شاذة لإشباع رغباتهم الجنسية، إلا أن هذه الحالة حطمت جميع القواعد!
ووفقا لصحيفة “ديلي ستار” البريطانية، فقد تعرض رجل مخمور لحالة من الألم الشديد بعد أن علق كأس ماء زجاجي في مؤخرته، بعد محاولته ممارسة الجنس بواسطة كأس زجاجي.
وقالت الصحيفة إن الرجل النيبالي البالغ من العمر 47 عامًا، والذي لا يزال مجهول الهوية ، اضطر إلى الذهاب للمستشفى لإزالة الكأس من شرجه.
الرجل يعترف بالحقيقة
وأخبر الرجل موظفي قسم الطوارئ في المستشفى أن الكأس موجود بداخله منذ ثلاثة أيام ، زاعما في البداية أن الكأس وصل إلى داخل شرجه عن طريق الصدفة، إلا أنه اعترف لاحقًا أنه أدخله بنفسه بينما كان في حالة سكر، معترفا أيضا أنه فعل ذلك بداعي الإشباع الجنسي.
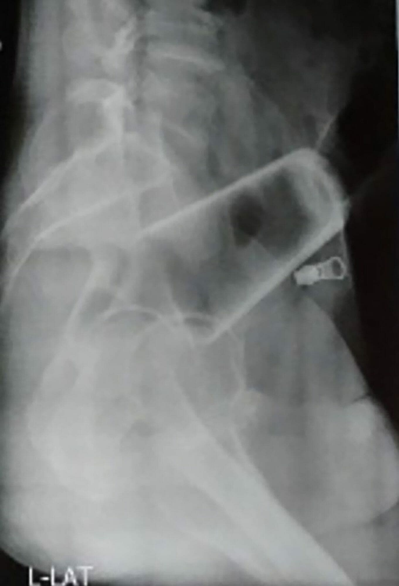
وبحسب الصحيفة، فقد تم تسجيل وقعة الرجل في مجلة Journal of Nepal Medical Association – حيث وثقت كيف أنه لم يتمكن من استخدام المرحاض لمدة يومين وكان يعاني من قدر هائل من الألم.
ولم تنجح جهوده الفردية لاستخراج الكأس الزجاجي، حيث كان الكأس مقلوبًا داخل المستقيم مما يعني أن الأطباء لم يتمكنوا من الإمساك به.

فتح البطن لإجراء عملية “حلب” للكأس
وفي النهاية ، كان على الأطباء فتح بطنه باسم الاستكشاف ، قبل “حلب” الكأس الزجاجي من الرجل عن طريق تدليك أمعائه.
وقال تقرير المجلة: “تمت محاولة الحلب لإخراج الزجاج من خلال فتحة الشرج ، لكن هذا لم ينجح لأن الزجاج كان مرتفعًا ومقلوبًا ومثبتًا بإحكام ومن ثم تم إجراء فغر الأمعاء السيني واستخراج الزجاج.”
وبحسب المجلة كان لدى الرجل شق جراحي في الأمعاء فيما يعرف باسم فغر الأمعاء ، مما سمح للأطباء أخيرًا بالوصول إلى الكأس الزجاجية الموجودة داخل امعائه.
وبعد الحادث ، أُجبر الرجل على البقاء في المستشفى لمدة أسبوع قبل إعطائه تصريحًا طبيًا بعد شهرين.

