وطن– تمكّن رجل لديه أسوأ حظ في العالم من الإصابة بكلٍّ من فيروس كورونا وحشرة أكل اللحم التي مزقت نصف وجهه في تتابع سريع.
واستقرت الفطريات الآكلة للحوم بعد ضعف الجهاز المناعي للشخص البالغ من العمر 37 عامًا، بعد إصابته بفيروس كورونا.
وبحسب صحيفة “ديلي ستار” البريطانية، وضعت عدوى فيروس كورونا الرجل الفقير من إيران في المستشفى، فضلاً عن إصابته بمرض السكري الذي لا يمكن السيطرة عليه.
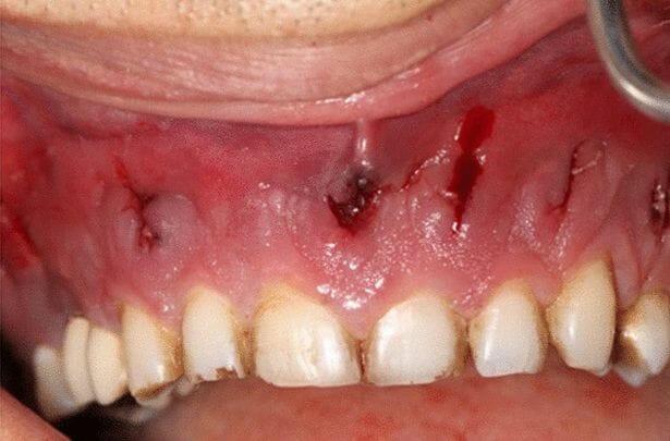
ووفقًا لتقرير نُشر في مجلة Journal of Medical Case Reports، في 3 مارس، تمت إحالة الرجل إلى خبير في التهابات اللثة اكتشف أنه مصاب بعدوى فطرية تأكل اللحم، تُعرف باسم فطار الغشاء المخاطي، تنمو في جزء من فكه السفلي.
ووصفت المجلة فطار الغشاء المخاطي بأنه حالة مروعة ونادرة يمكن أن تقتل أولئك الذين يعانون من ضعف في جهاز المناعة.

أسباب مرض فطار الغشاء المخاطي؟
وينتج المرض عن العفن الشائع الموجود في التربة، والذي عند استنشاقه يمكن أن يهاجم الشعب الهوائية في الجسم قبل أن ينتشر إلى الوجه والدماغ والأعضاء الأخرى.
ويقول مركز السيطرة على الأمراض في الولايات المتحدة إن ما يصل إلى 96٪ من المصابين بهذا المرض يمكن أن يموتوا، اعتمادًا على الأعضاء المصابة.

وبعد التشخيص المرعب، اكتشف مسعفون من جامعة العلوم الطبية في طهران في وقت لاحق، أن الفطر قد انتشر في أجزاء من تجويفه الأنفي والفم.
المريض خضع لعملية إزالة عظام الوجه المصابة
وأمضى جراحو التجميل ساعات في إزالة 12 سنًا وعظام الوجه المصابة، لمنع المرض من الانتشار أكثر والتسبب في المزيد من المضاعفات.
وبعد الجراحة، تم إعطاء الرجل أدوية مضادة للفطريات، ولحسن الحظ تعافى تمامًا دون أي علامات على عودة العدوى.
وقال مؤلفو الورقة، إن الرجل سيخضع لعملية جراحية ترميمية في وجهه.

وخلصوا إلى أنه “في أعقاب الأشكال الشديدة من كوفيد -19 ، يجب أن يؤخذ في الاعتبار وجود خراج دواعم الأسنان مع حركة الأسنان”.

