نشرت مجلة “ريدرز دايجست” الأمريكية الأمريكي تقريرا استعرضت من خلاله مجموعة من العلامات التحذيرية تدل على هشاشة العظام.
1.ضعف الأظافر
إذا لاحظت أن أظافرك تتكسر أكثر من المعتاد، فقد تكون تلك مشكلة.
ولهشاشة الأظافر أسباب عديدة، أبرزها نقص الكولاجين والكالسيوم.
والكولاجين هو بروتين يدعم بشرتك والهيكل العظمي. ويمكنك الحفاظ على الكولاجين بتناول بعض الأطعمة، مثل التوت والخضروات الورقية وفول الصويا والحمضيات.
اقرأ أيضاً: 4 عادات مذهلة تساعد على إنقاص الوزن بشكل أسرع .. ينصح بها الخبراء
أما الكالسيوم فهو معدن وجزء لا يتجزأ من صحة العظام ويمكنك الحصول على الكالسيوم من منتجات الألبان والخضر الورقية الداكنة والسردين.
فإذا كنت تفتقر إلى الكالسيوم والكولاجين، فإن النتائج تبرز من خلال طلاء أظافرك.
2.محدودية النشاط البدني
إذا كنت تقضي معظم وقتك أمام الكمبيوتر وعلى الأريكة، فمن المحتمل أن تكون أكثر عرضة للإصابة بهشاشة العظام.
في الواقع، تساعد التمارين الرياضية على بناء عضلات قوية وعظام صلبة.
عند ممارسة الرياضة وتقوم برفع الأثقال فإنك تساعد في الحفاظ على الهيكل العظمي.
اقرأ أيضاً: أفضل طريقة للوقاية من الأنفلونزا هذا العام بحسب الأطباء
فحاول أن تنهض من مكتبك وقم بجولة على الأقل مرة كل ساعة. قم كذلك بنزهة على الأقدام وخصص وقتًا للذهاب إلى قاعة الألعاب الرياضية في الصباح الباكر لرفع الأثقال.
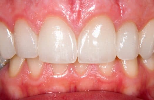
3.انحسار اللثة
يحدث انحسار اللثة على مدى سنوات عندما يفقد عظم الفك قوته. وعظم الفك هو ركيزة الأسنان أسنانك، لذلك عندما يضعف، يمكن أن تنفصل عنه الأسنان.
والعلامة رئيسية لانحسار اللثة هي بداية فقدان الأسنان.
مع تقدمك في العمر، اطلب من طبيب أسنانك فحص صحة اللثة أثناء زياراتك الروتينية.
حتى إذا لم تكن لديك مشكلة في اللثة، فستظل ترغب في مواكبة الإجراءات الوقائية مثل تنظيف الأسنان بالخيط أو بالفرشاة بانتظام، يمكنك أيضًا تقوية الفكك عن طريق مضغ العلكة.
4.تراجع طول القامة
يحدث ذلك عندما تنخفض كتلة عظامك ويتآكل الغضروف بين عظامك بسبب الاستخدام المكثف. ولا يعني تقصير عظامك دائمًا أن تكون عظامك في مشكلة، ولكن يمكن أن يشير إلى ضعف العضلات حول العمود الفقري.
5.قبضة ذات قوة ضعيفة
إذا حاولت على سبيل المثال فتح علبة المخلل، ووجدت صعوبة في فتحها مع شعور ببعض الألم، فقد تكون ذلك إشارة على أنه حان الوقت لاستشارة الطبيب لمعرفة ما إذا كنت تعاني من هشاشة العظام.
اقرأ أيضاً: 7 أشياء يمكن أن تحدث لجسمك في الخريف .. اكتشِفها
وتتمثل إحدى طرق حماية عظامك وزيادة قوة قبضتك من خلال القيام بتمارين القوة في القاعة الرياضية.
6. الإصابة بكسر نتيجة حركة بسيطة
يمكن أن يكون الكسر علامة كبيرة على ضعف العظام وفقدان قوتها.
فإذا كسرت، على سبيل المثال، كاحلك في حادث بسيط مثل الخروج من الرصيف بشكل خاطئ، فقد يكون الوقت قد حان لفحص عظامك وقد يكون هذا مؤشرًا مبكرًا أن لديك مرض هشاشة العظام.
7. تقلصات وآلام في العضلات
إن الأوجاع والآلام المتكررة هي علامة تحذيرية لنقص فيتامين د، والتي يمكن أن تؤدي إلى فقدان العظام.
فإذا وجدت نفسك أيضًا تعاني من تقلصات عضلية متكررة، فقد يكون ذلك علامة على نقص الفيتامينات / المعادن.
وفي هذا السياق، يقول طبيب الاقدام الدكتور فيشنو سيشاران إن “تشنجات العضلات شائعة بشكل خاص في القدمين والساقين وتحدث في الليل وغالبًا ما تكون علامة على أن مستويات الكالسيوم والمغنيسيوم أو البوتاسيوم في الدم منخفضة جدًا.”
8. هيكل عظمي خفيف
إن الأشخاص الذين لديهم هياكل أصغر وخفيفة هم أكثر عرضة للإصابة بهشاشة العظام .
وهذا يعني بالتالي أنه عليك أن تكون أكثر حرصًا على حماية الهيكل العظمي الخاص بك.
فحافظ على التمارين المنتظمة واملأ نظامك الغذائي بالأطعمة الغنية بالكالسيوم. وقم بفحص عظامك دائما عند الطبيب.
«شاهد كل جديد عبر قناتنا في YOUTUBE»






