وطن– “متابعة- وطن”- توصل الباحثون إلى أن الأسماك هي أصل طبقة المينا الصلبة المغلفة لأسنان البشر, وقالوا إن الحفريات والأدلة الوراثية بينت أن المينا لم تنشأ في سياق تطور الأسنان بل انتقلت من قشور الأسماك الأولية التي عاشت قبل 400 مليون عام لتصبح فيما بعد مكونا أساسيا لأسنان البشر.
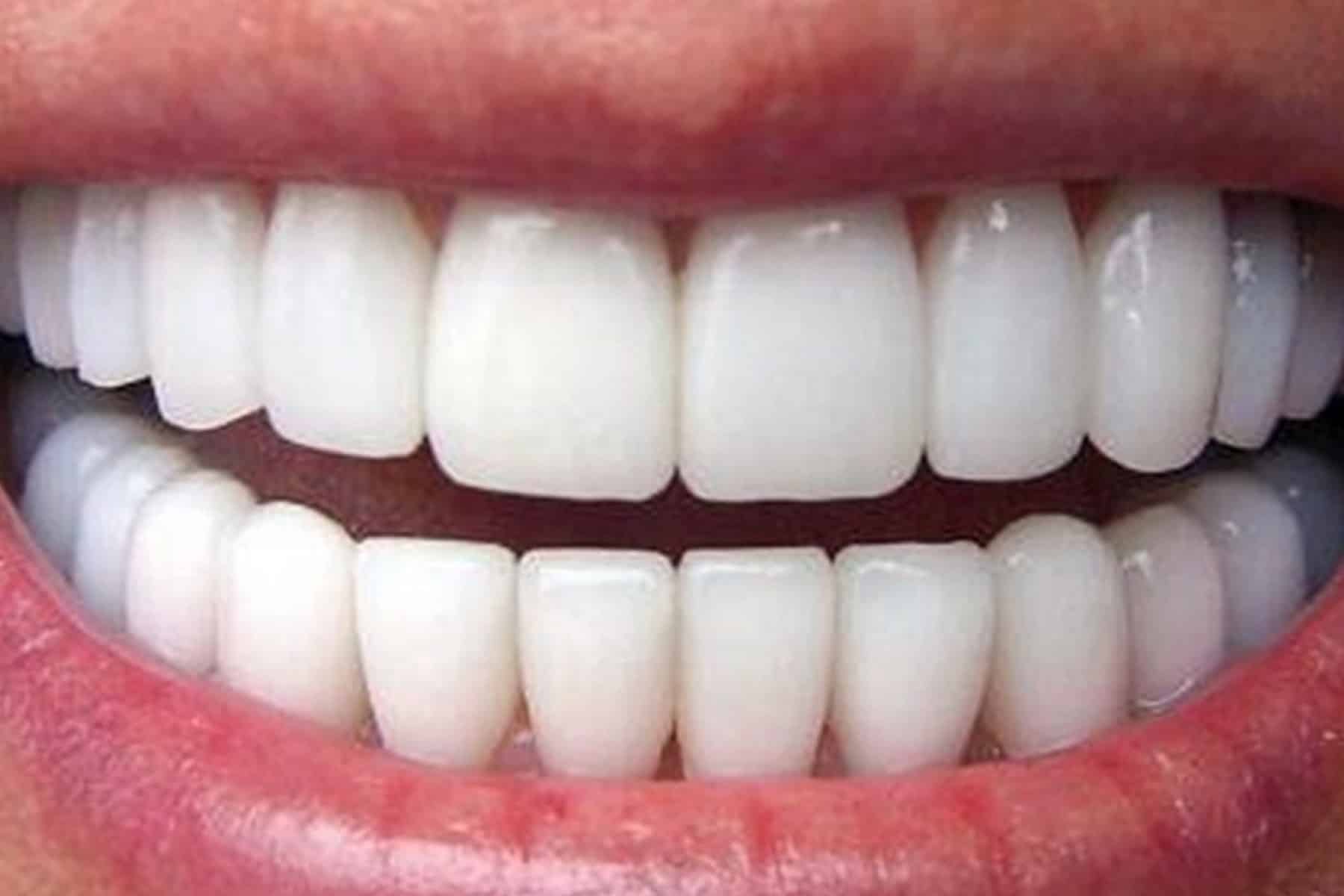
وطبقة المينا هي أصلب أنسجة في جسم الإنسان والفقاريات الأخرى لكن العلماء ظلوا طويلا وهم ليسوا على يقين من منشأ هذه المادة.
فحص الباحثون حفريات لنوعين من الأسماك العظمية ينتميان للعصر السيلوري –الذي شهد طفرات في تطور الأحياء البحرية- ليجدوا أن المينا كانت تغلف قشور الأسماك وليس أسنانها. وقال الباحثون بعد ذلك بملايين السنين -التي تخللتها عدة مراحل للنشوء والارتقاء- إن الأسماك استغلت مادة المينا لإضفاء القوة والصلابة على أسنانها.
وقال بير اريك البيرج عالم الأحياء القديمة بجامعة أوبسالا السويدية الذي وردت نتائج أبحاثه في دورية (نيشتر) “هذا من الأهمية بمكان لأنه أمر لم يكن متوقعا فلا توجد المينا إلا في أسناننا وهي في غاية الأهمية لوظائف الأسنان لذا فمن الطبيعي ان نفترض نشأتها في أجسامنا. إنها ذات أهمية هائلة لكونها تركيبات تستخدم في التعامل مع الطعام وتجهيزه”.
5 أسباب وفوائد غير متوقعة تدفعك لتنتظيف أسنانك بـاستخدام “خيط الاسنان”
والأسماك أسلاف مختلف الفقاريات البرية بما في ذلك البرمائيات والزواحف والطيور الى جانب الثدييات التي ينتمي اليها الإنسان.
وقال جينغ مينغ جو الاستاذ بجامعتي أوبسالا وأوتاوا “على الرغم من أن نسيج المينا هذا في أسناننا يستخدم في القضم والمضغ فقد كان يستغل أصلا كنسيج واق في الأسماك البدائية الحية بما في ذلك أسماك الغار والبيشير”.
وأوضحت الحفريات سمكة تسمى (أندريوليبس) عاشت قبل 425 مليون عام في السويد وهي ذات طبقة رقيقة من المينا على قشورها علاوة على سمكة أخرى تدعى (بساروليبس) عاشت في الصين قبل 418 مليون سنة ولها طبقة مينا على قشورها وأيضا على عظام الوجه لكن لم تظهر المينا على أسنان هذين النوعين.
وكشف الطاقم الجيني (الجينوم) لسمك الغار الأرقط –الذي يعيش في المياه العذبة بوسط الولايات المتحدة وجنوبها والذي لم يطرأ عليه أي تغيير يذكر منذ حقبة الديناصورات- عن المزيد من الأدلة والقرائن.
كانت قشور أسماك الغار و(أندريوليبس) و(بساروليبس) مغطاة بطبقة لامعة تشبه المينا فيما رصد الباحثون جينات تختص بتكوين المينا وتنشط في جلد أسماك الغار ما يؤكد ان هذه المادة هي في واقع الأمر أحد أنواع المينا.


تعليق واحد
هذا حال المتخبطين الحائرين الكفرة الملحدين الجاحدين لقدرة الخالق عز وجل ولو آمنوا بالله عز وجل لارتاحوا دنيا وآخرة ولكن لعن الله الكافرين الضالين المضلين ومن شايعهم آمين